史记泰州

 找回密码
 立即注册

微信登录

微信扫一扫,快速登录

搜索
热搜: 活动 交友 discuz
查看: 1029|回复: 0

警惕肺部 “隐形杀手”!专盯免疫薄弱者,早识别能救命!

[复制链接]

1298

主题

-3

回帖

8549

积分

论坛元老

Rank: 8Rank: 8

积分
8549
发表于 2026-3-26 10:19:04 | 显示全部楼层 |阅读模式





近期,我院肺病科成功救治一名耶氏肺孢子菌肺炎(PJP)患者,该患者为乳腺癌化疗后免疫低下人群,发病凶险、进展迅猛,所幸经科室团队快速精准诊疗,最终转危为安。这一病例也为所有免疫力薄弱人群敲响警钟,今天我们就结合典型病例详解这一肺部 “隐形杀手”,教大家早识别、早应对。





典型病例:化疗后突发凶险症状,24 小时锁定元凶
患者为老年女性,确诊乳腺癌后规律行化疗治疗,化疗周期尾声突发顽固性干咳,无明显咳痰,初期误以为是化疗后身体虚弱引发的普通呼吸道不适,未及时重视。随后短短 3 天内,症状迅速加重,出现活动后呼吸困难,端杯水、走几步路即喘憋难忍,伴持续低热、乏力,家属紧急送医,入院时患者血氧饱和度已降至90%,病情危急,随时可能进展为呼吸衰竭。
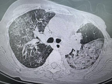
我院肺病科团队接诊后,第一时间启动免疫低下人群肺部感染急症诊疗流程。结合化疗后骨髓抑制病史,高度怀疑 PJP,快速完善外周血淋巴亚群分析、G试验等检查,胸部 CT 见双肺弥漫性磨玻璃样影,符合 PJP 典型影像学特征。团队争分夺秒为患者行气管镜肺泡灌洗,灌洗液送检 t-NGS(病原靶向高通量测序),同时给予氧疗、对症支持等治疗,维持患者呼吸循环稳定。24 小时内 t-NGS 检出耶氏肺孢子菌,结合各项检查确诊 PJP,随即予复方新诺明靶向抗真菌治疗,辅以保肝护胃及中医扶正调理。经规范治疗半月后,患者干咳、气促症状完全缓解,血氧饱和度恢复至正常水平,复查胸部 CT 提示双肺弥漫性病灶显著吸收,现已顺利出院,回归正常生活。这一病例的成功救治,得益于我院肺病科对免疫低下人群肺部感染的快速识别能力、完善的急症诊疗流程,以及气管镜肺泡灌洗 + t-NGS 的精准检测技术,为抢救赢得了宝贵时间。
a10245a722e81bab3392ccb2296d55bb.png d44b289fc76be1d1cbed45dcc8429ec1.png

Part 01藏在呼吸道里的“卧底”,专等免疫力下降






耶氏肺孢子菌是一种很常见的真菌,空气里有,就连健康人的嗓子、鼻子里也可能有,平时安安静静的,不会让人不舒服,这就是我们常说的“无症状携带状态”。

9c1c601c2e69b0243976edfd1552c0a0.png

一旦您因放化疗、器官移植后服用抗排异药、或患有艾滋病等导致免疫力大幅下降,它就会立刻“策反”,在肺泡里疯狂繁殖,引爆炎症,破坏肺部的换气功能,导致严重的低氧血症,甚至呼吸衰竭。



Part 02谁是它的“头号目标”?






这种肺炎从不攻击健康人,只盯着免疫力薄弱的人群。除了大家熟知的艾滋病患者,以下人群风险更高,且往往症状更隐蔽、病情进展更快:
⚠ 最高危:肿瘤放化疗患者。 放化疗在杀死癌细胞的同时,会抑制骨髓造血,导致白细胞减少,免疫力暂时“归零”。这是目前非艾滋病患者中,感染PJP的最主要人群。
⚠ 高危:器官移植后/自身免疫病患者。 长期服用糖皮质激素、免疫抑制剂(如环孢素、他克莫司、霉酚酸酯等)来控制排异反应或病情,同样为耶氏肺孢子菌打开了方便之门。
⚠ 需警惕:其他免疫力低下人群。 比如先天免疫缺陷的儿童、患有血液肿瘤、慢性肝病、糖尿病控制不佳的体弱老人。



Part 03记住3个“求救信号”,千万别当感冒扛!






PJP的早期症状极易与普通感冒混淆。对于免疫力差的朋友,一旦出现以下任何一种情况,请立即就医,不要犹豫,不要自行服用“消炎药”!
顽固性干咳: 持续不断的干咳,或仅有少量白色泡沫痰,普通止咳药完全无效。
进行性呼吸困难: 从最初的上楼、快走时气喘,逐渐发展到安静状态下也感觉气不够用,严重时嘴唇、指甲会发紫(这是缺氧的表现)。
持续性低热: 大多为37.5℃-38℃左右的低烧,同时伴有乏力、盗汗、体重下降。
⚠ 特别注意: 请记住,青霉素、头孢等抗生素对PJP完全无效!乱吃抗生素只会掩盖和延误病情,给真菌更多繁殖时间。这次的乳腺癌患者,就是靠我院采用的气管镜肺泡灌洗 + 基因测序这类精准检测技术,才能在最短时间内找到病因,为抢救赢得先机。




Part 04能防!能治!中西医结合,守护您的呼吸







面对PJP,不必恐慌。它可防、可诊、可治,关键在于“早发现”和“精准治疗”。而康复的关键,除了精准打击病原体,更要扶助自身正气。
我院针对免疫低下人群,制定了一套“西医精准诊断 + 中医整体调护”的综合方案:
精准诊疗: 通过气管镜直达病灶取样,结合基因测序等高精尖技术快速“破案”,然后选用最敏感的药物(如复方新诺明)进行精准打击。
日常防护:四道防线,把真菌挡在门外:
第一道防线:遵医嘱,不乱来。 放化疗或服用免疫抑制剂期间,严格遵医嘱,定期复查血常规,监测免疫功能。切勿自行增减药物剂量。
第二道防线:药物预防,咨询医生。 经医生评估属于高风险的人群,可在医生指导下预防性服用小剂量复方新诺明,这是目前最有效的西医预防手段。
第三道防线:环境隔离,减少暴露。 少去人多拥挤、空气不流通的场所,必要时佩戴口罩。勤洗手,家里多通风,定期清洁空调滤网,减少环境中的真菌。
第四道防线:中医调理,扶助正气。
食疗:平素可多食健脾润肺之品,如山药小米粥、黄芪炖鸡汤、百合莲子羹,增强体质。

38e09b05e179b6e51f78a359ebadf229.png


穴位按摩:每天坚持按揉足三里、肺俞、气海穴,每穴3-5分钟,以局部酸胀为度,能有效激发人体正气,提升免疫力。

5aa036d876d5bff6f4f83a225441aba2.png

84f2023113403942bcd26c3a77fad542.jpeg

ff73910a84ddb25589eeef296f854cd9.jpeg

中药调理:对于体质特别虚弱者,可在中医师指导下,服用玉屏风散、四君子汤等经典方剂,固护卫气,增强抗病能力。
最后提醒免疫力是“第一道防线”



耶氏肺孢子菌就像“专捏软柿子”的真菌——免疫力正常时,它是“无害共居者”;免疫力崩溃时,它就成了“致命威胁”。
身体的免疫力,永远是最好的“保护墙”。如果您或您身边的人正处于免疫力薄弱的阶段,请务必记住干咳、气短、低热这三个信号,一旦出现,及早就医,精准诊疗,就一定能战胜这个肺部的“隐形杀手”。





专家介绍


4c9bd48a852792c427b2f886cc882d34.jpeg
丁元华
主任中医师,泰州市中医院肺病科主任,江苏省医学会及江苏省中西医结合学会呼吸分会委员,主要研究方向慢性阻塞性肺疾病、呼吸衰竭、支气管哮喘、肺炎、肺间质疾病等,擅长治疗肺病科常见病和多发病,尤其是慢性阻塞性肺疾病、肺炎、支气管哮喘、肺间质疾病等有丰富的经验,熟练运用支气管镜、经皮肺活检、机械通气等。

76dd076e277990471a6482c57bd8f783.jpeg

陈伟

中共党员,呼吸与危重症医学科主任助理,副主任中医师,江苏省肺系专业委员会青年委员,江苏省国家中医药应对重大公共卫生事件和疫病防治骨干人才,第七批全国名老中医药专家学术经验继承工作继承人,泰州市311高层次人才,泰州市抗癌协会委员,在上海肺科医院进修深造,擅长中西医结合治疗呼吸系统常见病、多发病 ,擅长呼吸科常见病及多发病的诊断与治疗,常规操作普通支气管镜,超声气管镜(e-bus)进行诊断与治疗,熟练开展经皮肺穿刺。熟悉肺癌,肺部感染,哮喘,慢阻肺,肺纤维化等。

2c2e69a5d2f229643096552a7d51667a.jpeg

季冬梅

副主任中医师,中西医结合治疗慢阻肺、哮喘、慢性咳嗽、支扩等呼吸科常见病及多发病。
  
442ec5e48f3dc29db8b9db34bac40345.jpeg

邓正亭

主治中医师,硕士研究生,毕业于南京中医药大学。主要专业方向:慢阻肺、哮喘、支气管扩张、肺部感染、肺癌等呼吸系统疾病的中西医结合治疗。可常规进行支气管镜检查及机械通气等。








供稿/ 肺病科
编辑、整理/ 蔡嘉诚  陈可 钱雪 袁紫怡
责任编辑/ 秦后权
投稿邮箱/ tzszyyxck@163com
宣传统战处 出品
部分图片来源于网络,如有问题请及时与我们联系
[color=rgba(0, 0, 0, 0.9)]


回复

使用道具 举报

您需要登录后才可以回帖 登录 | 立即注册 微信登录

本版积分规则

Archiver|手机版|小黑屋|史记泰州

GMT+8, 2026-5-16 00:42 , Processed in 0.075312 second(s), 26 queries .

Powered by Discuz! X3.4

© 2001-2023 Discuz! Team.

快速回复 返回顶部 返回列表